东莞康华医院

院长信箱
门诊开诊时间:8:00-12:00 14:00-17:50
急诊开诊时间:24小时开诊
0769-22823333
当前位置 首页>康华动态>院内新闻
这个病爱挑美女下手!“元凶”是...
时间: 2023.10.21 点击数: 来源:东莞康华医院

“突然愣住、脸色一变、捂胸倒地、表情痛苦”

上面这16个字

是最近火热的《问心》电视剧画面里的

随着电视剧的开播

有网友开始关心心脏问题


而我关心的是

年纪轻轻咋会患上急性心肌梗死

还是罕见病例!!!

自发性冠状动脉夹层


      10月15日,我院CCU团队在揭英纯副主任医师及多学科的全力配合下,成功救治一名自发性冠状动脉夹层导致大面积心肌梗死合并心源性休克的患者,并在血管内超声(IVUS)指导下使用切割球囊精准实施了经皮冠状动脉球囊扩张成形术,术后在ECMO辅助下经过一个月救治,患者终于转危为安、重获“心”生。


重获“心”生与爱人共赏晚霞


01

突发胸闷、大汗淋漓

短短16小时后生命垂危

   31岁的华女士(化名),是一名普通上班族,9月6日无明显诱因突发“胸闷胸痛”症状,持续几分钟后缓解。谁曾想短短1天后,华女士的症状逐渐加重,再次突发疼痛时已经痛得大汗淋漓了。丈夫见状不免担忧,一番思索后,立即将其送往附近医院就诊。患者经过一系列治疗仍未好转,为进一步明确诊断和治疗,遂被转运至东莞康华医院。

年轻的华女士平时不熬夜、不抽烟、不喝酒,无既往病史,还经常运动,她这是怎么了?



华女士被送至我院急诊科时已处于心源性休克状态,入院几个小时内,病情迅速进展且仍在进一步恶化,血压难以测出,生命垂危。做了心电图、胸痛三联征CT检查和一系列化验后:

疑似冠心病 急性非ST段抬高型心肌梗死。

   “年轻女性患冠心病的风险极低,得冠心病的风险也更低,患者难道是冠脉痉挛、多发性大动脉炎、冠脉自发夹层...?不同的病因,治疗方案也不同。患者收入院后病情仍持续恶化,如不能明确病因,很可能迅速死亡,建议立即为患者完善冠脉造影检查明确病因,精准治疗。”揭英纯副主任医师提出的方案得到科内医生的一致认同。


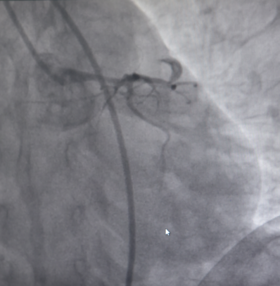
随后,患者立即被送往导管室,揭主任携副主任医师蒋溢为迅速给患者完成了冠脉造影,术中见患者左主干明显变窄,回旋支闭塞,血流TIMI0级,前降支次全闭塞,血流TIMI1级。但此时尚未能明确患者是否为冠脉痉挛或冠脉自发夹层,揭英纯和蒋溢为副主任医师当机立断,为患者快速完成了血管内超声检查,原来是冠状动脉自发夹层!考虑到患者冠脉已经闭塞,遂在IVUS指导下选择切割球囊精准对闭塞血管进行切割扩张,恢复回旋支及前降支正常血流。

左主干至回旋支、前降支自发性冠状动脉夹层、血肿压迫真腔


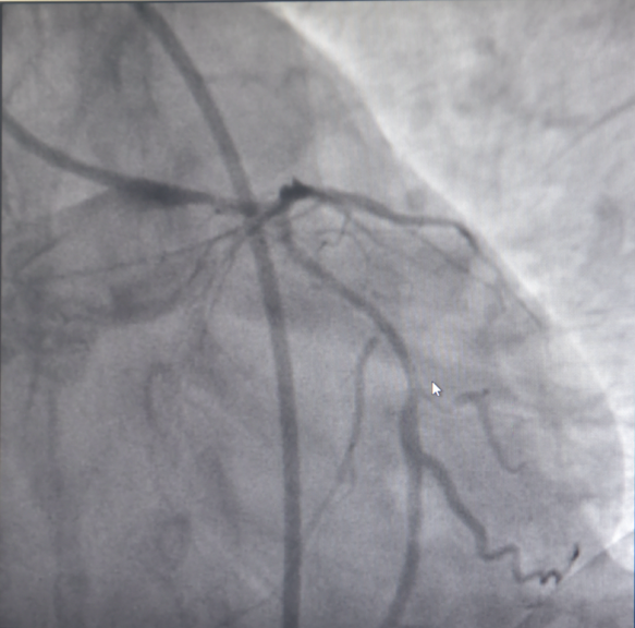
血管再通,血流恢复正常


02

ECMO助力成功脱险

运转10天顺利撤机

抢救工作困难重重......救治过程紧张而惊险!

患者术前左侧冠状动脉闭塞,导致了大面积心肌梗死,回病房后患者出现严重肺水肿,呼吸困难进行性加重,无创呼吸机无法维持患者血氧正常。患者随时会出现呼吸衰竭、恶性心律失常、心脏停搏等情况危及生命,抢救工作有序开展,揭英纯副主任为患者行气管插管,气管内涌出大量粉红色泡沫痰,CCU团队快速予机械通气支持,此时患者心脏出现了停搏,立即予胸外心脏按压后患者恢复了自主心律,但血压仍然不能维持。


CCU团队评估认为,建议立刻启动ECMO(体外膜肺氧合)救治,让心脏得到休息。“像这种心源性休克的病人,死亡率超过50%,再这样恶化下去,呼吸心跳随时可能停止,患者的病情已达到可以使用ECMO的标准,用ECMO暂时替代患者心肺功能,为危重症的抢救赢得宝贵的时间。”CCU揭英纯副主任医师提到。

时间紧迫,医务人员快速与家属进行有效沟通,CCU团队为患者顺利置管上机。运转后患者氧合状况明显改善。整个过程中,医护团队配合默契,动作娴熟,为患者快速打通了“生命通道”。

上ECMO初期患者仍然反复出现心脏停搏、室颤、室速等恶性心律失常,考虑电风暴,“电风暴”的到来进一步增加了患者死亡风险,经过及时有效的治疗,患者心律逐渐趋稳定。超声下见患者心脏几乎没有收缩能力,左室射血分数低至16%。救治过程中患者已出现了弥漫性血管内凝血、脓毒血症等严重合并症。面对众多棘手问题,CCU团队予一一破解难题,全力以赴挽救患者生命。


经过多次生死“博弈”,最终在多学科全力救治下,10天后ECMO成功撤机!15天呼吸机顺利脱机拔管!经过长达一个月的积极救治,医护团队克服重重困难,成功地将病危的患者从死亡边缘拉回,目前患者病情得到有效控制,各项指标逐渐好转,为我院多学科联合救治急危重患者的历程再添一笔浓墨重彩的记录。华女士及家人竖起了大拇指,为CCU医护团队点赞,感谢康华医护人员给了她第二次生命。

自发性冠状动脉夹层作为一个有挑战性的疾病

科发生于任何冠脉!


知识知多D

什么是自发性冠脉夹层?它为什么罕见?

自发性冠状动脉夹层(SCAD)是引起急性冠脉综合征和心源性猝死的非动脉粥样硬化性、非创伤性的病因之一,它是一种公认的、相对罕见的导致心源性猝死的原因其主要表现为冠状动脉内膜自发撕裂或冠状动脉壁内滋养血管出血形成血管夹层,影响正常冠状动脉血液供应,从心绞痛到ST段抬高型心梗、室颤,甚至猝死。症状可表现为剧烈胸痛,伴随大汗、心悸、高或低血压,无症状患者较少见。它与一般的心肌梗死需要紧急恢复心肌供血不同,自发性冠脉夹层的夹层存在自愈的趋势,因此主要采取药物治疗,一般只有当药物治疗不佳或者高危的自发性冠脉夹层才考虑血运重建。

与其他粥样硬化性疾病相比,SCAD有其特殊的特点——它是年轻至中年女性、妊娠期或分娩后心肌梗死患者的常见原因,尤其是几乎没有传统动脉粥样硬化危险因素的女性。患者多有身体及情绪上的刺激因素,通常与易感性动脉病变有关,SCAD病理生理机制尚不清楚,很可能是多个诱发因素的组合增加了易感性。从研究数据来看,自发性冠脉夹层较罕见,占所有急性心肌梗死的不到1%,死亡率非常高,且绝大多数的SCAD患者90%为女性,是中青年女性心肌梗死的重要原因。因此,需要加强对该病的认识。

什么是ECMO技术

ECMO是体外膜肺技术(extracorporeal membrane oxygenation)的缩写,又叫人工膜肺。通过建立动静脉管路,为机体并联一个人工心脏和肺脏,可以全部或部分较长时间替代生理心脏和肺脏的功能,从而在机体心肺功能不全的时候维持机体正常程度血液循环。一般常用V-V-ECMO和V-A-ECMO两种治疗模式。

它是指一般常规治疗无效时,可以暂时性替代心和(或)肺功能的高级体外生命支持系统,通过数天或数周的辅助,使心和(或)肺休息以期实现器官功能恢复,并为原发病治疗提供保障。

而心源性休克是急性心肌梗死的严重并发症之一,体外膜肺氧合可以为全身脏器提供足够的灌注,同时也可以增加心肌氧供,能够促进急性心肌梗死合并心源性休克患者的心肌功能恢复,促进循环功能的改善。

专家介绍


揭英纯

CCU副主任,康华医院胸痛中心医疗总监

副主任医师,医学硕士

大湾区心脏协会泛血管医学分会委员

中国心脏联盟心血管疾病预防与康复专委会广东联盟委员

广东省医药质量管理协会心脏超声造影专委会委员

东莞医学会心血管病分会青年委员

毕业于南方医科大学,主要从事心血管病重症救治及冠脉介入诊疗工作,擅长开展呼吸机、起搏器、IABP、CRRT、ECMO等对重症心血管病人的救治;常年从事急性心肌梗死急诊冠脉介入治疗,熟练应用FFR、IVUS等指导完成复杂冠脉介入手术。多次在《中华心血管病杂志》等核心期刊发表专业论文。


蒋溢为

副主任医师

中国大湾区心脏协会泛血管分会委员

中国大湾区心脏协会心脏重症分会委员

毕业于南方医科大学,从事心血管内科专业10余年,熟练掌握心血管内科常见病、急危重症救治;从事介入手术10余年,参与各项心血管内科介入手术及操作数千台,其中参与完成三、四及手术近两千台;熟练掌握心血管重症常规操作技术;擅长冠心病介入治疗,曾于国家卫健委培训基地南方医院进修冠状动脉介入治疗一年,并取得国家卫健委冠心病介入证。


周小欧

主治医师

毕业于汕头大学,临床医学,心血管内科硕士。毕业至今从事心血管内科工作近10余年。熟练掌握心血管内科常见病、疑难病的诊疗原则。心内科基础扎实,对高血压、冠心病、心力衰竭等慢性病药物调理有一定临床经验。毕业至今积极学习心内科介入操作,掌握一定介入基础。

科室介绍

东莞康华医院CCU为目前东莞地区规模较大的心血管重症监护室,有专职CCU医师及护理团队,开放床位41张,有完善的心电监护、血液动力学监测设备,拥有飞利浦床旁超声、ECMO、IABP、CRRT、临时起搏器、有创呼吸机、无创呼吸机等多种生命支持设备。专业救治心肌梗死疾病、高血压急症、急性左心衰、暴发性心肌炎、血流动力学不稳定、急性肺栓塞等心血管急重症。完成各种复杂冠心病手术,如慢性冠状动脉闭塞(CTO)、左主干病变、支架内再狭窄、高龄患者等复杂高危病变的治疗。在单飞主任(心血管中心主任)的指导下成立了“急救小分队”,可携带ECMO、IABP、临时起搏、呼吸机等生命支持设备外出抢救、接诊极危重患者。(责任编辑:品牌宣传部)

Document